
Loose teeth, clinically referred to as tooth mobility, occur when the supporting structures of the teeth gums, periodontal ligaments, and jawbone—become weakened or damaged. In adults, this condition is not normal and typically indicates an underlying dental issue, most commonly periodontal (gum) disease.
Teeth are naturally anchored within the alveolar bone through a network of connective tissues. When infection, inflammation, or excessive force disrupts this support system, teeth may begin to shift, loosen, or change position. Without timely intervention, this process can progress to permanent tooth loss.

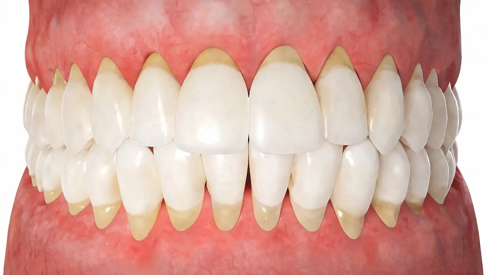
Recognizing early symptoms is essential for preventing long-term complications. Common signs include:
These symptoms often indicate active gum infection and bone loss, which require professional care.
This is the most common cause. Bacterial plaque accumulates along the gum line, leading to inflammation (gingivitis), which can progress to periodontitis. In advanced stages, the infection destroys the supporting bone, resulting in tooth mobility.
Inadequate brushing and flossing allow plaque and tartar buildup, accelerating gum disease and weakening tooth support structures.
Tobacco significantly reduces blood circulation to the gums, impairing healing and increasing susceptibility to infection and bone loss.
Conditions such as diabetes can compromise the immune response, making it harder to control infections and maintain healthy gums.
Excessive forces caused by teeth grinding (bruxism) or an imbalanced bite can gradually damage the periodontal ligament and supporting bone.
Hormonal fluctuations may increase gum sensitivity and inflammation, making tissues more vulnerable to infection.
A precise diagnosis is essential to determine the severity of the condition and the appropriate treatment approach.
This comprehensive evaluation helps identify whether the tooth can be preserved or requires replacement.
When diagnosed early, loose teeth can often be stabilized and preserved.
Treatment options include:
These interventions aim to stop disease progression and restore stability.
In cases of severe bone loss, the supporting structure may be irreversibly damaged. Retaining such teeth can compromise adjacent teeth and overall oral health.
Dental implants are widely regarded as the most predictable and long-term solution for replacing missing teeth.
Key Benefits:
Related Treatments:
Ignoring loose teeth can lead to progressive complications, including:
Early intervention significantly improves prognosis and treatment success.
Immediate consultation is recommended if you experience:
Prompt evaluation allows for conservative treatment and better outcomes.
If you are experiencing loose teeth or symptoms of gum disease, early professional care is essential.
Schedule a consultation at Scientific Dental Clinic to receive an accurate diagnosis and a customized treatment plan.
Yes, loose teeth can often be saved if the condition is diagnosed early. Treatments such as deep cleaning (scaling and root planing), gum therapy, and bite correction can help stabilize the tooth. In advanced cases with severe bone loss, saving the tooth may not be possible.
The most common cause is gum disease (periodontitis). It is a bacterial infection that damages the gums and supporting bone, leading to gradual loosening of teeth if left untreated.
A loose tooth may need to be removed when there is significant bone loss and the tooth cannot be stabilized. Removing a severely compromised tooth can help protect surrounding teeth and improve overall oral health.
The best treatment depends on the severity of the condition. Early stages can be managed with gum treatment and improved oral care, while advanced cases may require tooth replacement options such as dental implants.
How we work




Testimonials
5.0/5.0

Mr.Grahambell is working for the Petroleum industry in Australia. He had his full mouth dental implants done in 2010.

A senior ICU nurse in Australia. A chief nurse of her caliber has very carefully scrutinized the sterilization standard at Scientific Dental Clinic and after being personally satisfied she decided to represent the clinic in Australia.